
【焦點時報/記者林明佑報導】家住雲林的七旬老翁,八年前曾在國民健康署提供的大腸癌篩檢中出現糞便潛血反應,隨後接受大腸鏡檢查,當時雖發現息肉,但因檢查過程不適而中途放棄,留下陰影,並未及時處理。未料八年後,老翁出現腹脹、排便困難卻又頻頻有便意的狀況,一天幾乎有一半時間都待在馬桶上。他苦笑說:「還好家裡是坐式馬桶,不然我一定會倒下去。」

家人憂心之下陪同他至雲林基督教醫院就醫,這次醫師安排舒眠大腸鏡檢查,老翁「睡一覺醒來就做完了」,未再感到不適。然而檢查結果顯示大腸有異常病灶,經評估需手術治療。為讓父親手術過程減少疼痛、恢復更快,女兒選擇轉至彰基醫學中心接受治療,由大腸直腸外科張譽耀主任操刀,採用單孔達文西機械手臂SP系統手術。

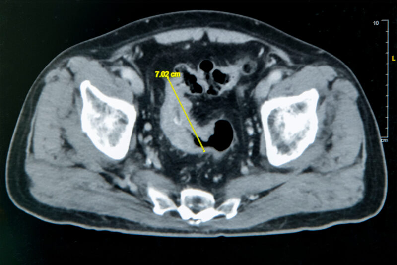
大腸直腸外科主任張譽耀醫師表示,老翁罹患乙狀結腸癌,腫瘤約7公分造成腸子幾乎完全阻塞,也導致老翁一進食就會肚子又脹又痛;術前因為不敢進食,老翁體重下降、營養不足,也可能造成傷口癒合不良。老翁的手術其實會有兩個傷口,一個是肚子上的傷口、一個腸子的傷口,若腸子傷口癒合不良會造成腸吻合滲漏,到時就必須做人工肛門了!所幸經過提早住院,透過靜脈營養針先建立營養,讓病人強健身體後才手術,術後傷口果然順利癒合。手術順利完成,老翁術後恢復良好,疼痛程度遠低於預期,他開心表示:「沒想到這麼快就能下床,真的很感謝醫師。」
彰基目前使用單孔達文西SP系統,是全台少數擁有此設備的醫院之一。系統啟用首日,彰基總院長陳穆寬教授親自完成兩例頭頸癌的達文西切除癌症手術,都是完全無疤痕手術,不但兼顧外觀與功能,也讓病人術後出血少、住院時間短。這套設備在狹小空間中操作特別有優勢,而因為是從自然孔進行手術,病人術後的臉部外觀完全看不到開刀痕跡。`
目前彰基同時配置達文西多孔系統與SP單孔系統,可依不同疾病特性選擇最合適的機器人手術方式。張譽耀主任說明,達文西手術具備高解析3D視野與靈活精密的機械手臂,可減少傷口與疼痛。多孔系統操作範圍廣,但腹壁仍需數個小切口;SP單孔系統則將傷口減少到只需一個,更適合年長或希望減少不適的患者。目前全台僅有不到十台SP系統,彰基同時具備兩套設備,能針對不同手術需求互補運用,為病人量身打造更精準、個人化的微創治療。
張譽耀主任提醒,大腸癌長期位居國人十大癌症發生率前幾名,但透過國健署提供的糞便潛血篩檢,可早期發現、早期治療,避免疾病惡化。彰基醫學中心每年收治相當多經外院檢出的大腸癌患者,約有三成個案是在院外篩檢後轉介來本院治療,其中以南投地區民眾居多,顯示跨區民眾對彰基手術品質與技術的信任。未來,醫院也將持續強化篩檢宣導與精準手術發展,期盼守護更多中部地區民眾的健康。=
圖:嘉義縣政府警察局提供 報新聞/編輯部 嘉義縣新港奉天宮舉辦「2025跑出金虎爺全國路跑賽」活動,本次參賽選手將有6279人,為避免新港奉天宮前廣場及新港鄉中山路段大量車流湧入市區街道造成危險,訂於114年11月22日(星期六)下午2時至114年11月23日(星期日)12時止,針對奉天宮周邊道路規劃交通疏導管制及替代路線如下:一、 會場彈性交通管制(禁止車輛進入):(一) 古民街與新民路口。(二) 古民街與登雲路口。(三) 古民街與文昌街口。(四) 中正路與新民路口。(五) 中正路與福德路口。(六) 中正路與登雲路口。(七) 中山路與嘉159線路口。. 圖:嘉義縣政府警察局提供 二、 例外車輛:執行公務車輛、記者及管制區內居民車輛出入。於114年11月23日4時(星期日)起至10時止,管制車輛進入新港鄉中山路(進入新港市區道路),建議車輛改道路線:嘉民路→164線→新港街道或行駛159線→新中路→157線→新港街道。該活動期間提供各項為民服務措施,如有需要請撥打嘉義縣警察局民雄分局新港分駐所(05)3742009。 圖:嘉義縣政府警察局提供 Please enable JavaScript to view the comments powered by Disqus.
車牌對中「5、6、7、8」劍湖山世界門票299元起。(圖/劍湖山世界提供) (觀傳媒雲嘉南新聞)【記者蘇榮泉/雲林報導】秋高氣爽正是出遊最佳時節,劍湖山世界今(2025)年再推超值活動,自11月20日起祭出「車牌號碼優惠」,凡汽機車車牌中含有「5、6、7、8」任一數字,門票最低每人只要299元起,吸引許多遊客關注。活動期間自2025年11月20日至2026年1月23日(12月31日不適用),以親民價格鼓勵民眾隨時出遊、輕鬆體驗樂園魅力。 不論是追求刺激的雲霄飛車愛好者、尋找文化體驗的深度旅遊客,或是享受親子時光的家。(圖/劍湖山世界提供) 依據活動規則,只要車牌中對中1碼,車上每人即可享499元優惠;若對中2碼以上,則每人只需299元。汽車限優惠4人、機車限2人,相關資訊可於官網查詢。劍湖山世界主題樂園經理張華紋表示,園區希望在沒有連續假期的時段,也能讓民眾以最划算的價格輕鬆出遊。 酷咖啡(KU COFFEE)不僅是時尚咖啡館,更是全國首座以咖啡為主題的「咖啡博覽館」常設展。(圖/劍湖山世界提供) 除了暢玩刺激設施如 G5 飛天潛艇、衝瘋飛車與全台海拔最高幸福摩天輪外,劍湖山更將雲林古坑咖啡文化帶入園區,以「酷咖啡」打造全台首座咖啡主題常設展,讓旅客在樂園中也能品味在地風土。 遊樂園之餘,一定要到「酷咖啡」品嘗招牌冠軍咖啡。(圖/劍湖山世界提供) 園區今年亦推出多項國際級表演,包括年度大秀《愛遊世界奇遇記》,由國際特技團隊帶來高空特技與視覺震撼;以及深受親子喜愛的《恐龍見面會》,讓遊客近距離感受侏羅紀生物的臨場魅力。 全台樂園唯一《恐龍見面會》,在園區內與遊客進行互動實境體驗。(圖/劍湖山世界提供) 在住宿方面,劍湖山渡假大飯店推出最受歡迎的四人同行專案【劍湖山快樂送3+1 同行鬆久久】,每房僅需3,999元起,包含住宿一晚、自助早餐與主題樂園門票,成為許多家庭與團體旅遊的首選。 車牌5.6.7.8 就來劍湖山準備過聖誕吧!(圖/劍湖山世界提供) 不論是喜愛高速雲霄飛車的玩家、尋找文化體驗的旅人,或是規劃親子共遊的家庭,劍湖山皆以一站式服務滿足不同族群需求。從車牌優惠、深度咖啡文化體驗,到國際表演與超值住宿方案,打造全年齡都能盡興的旅遊體驗。更多活動與優惠訊息可至劍湖山世界官網查詢。 劍湖山渡假大飯店推出四人同行專案【劍湖山快樂送3+1 同行鬆久久】,每房僅需3,999元起,包含住宿一晚、自助早餐與主題樂園門票。(圖/劍湖山世界提供) 立即加入【觀傳媒】官方帳號http://lin.ee/q2kd3ut精彩新聞不漏接!
波新聞─李至文/高雄「靈光心影」當代膠彩聯展以「光」與「心」為核心意象,探討人在生命流轉間的自我凝視與心靈回應。展覽試圖從「本心」出發,透過創作回望生命的價值與意義,將短暫的人生昇華為恆久的靈光,折射於自我與世界之間。這不僅是一場視覺的藝術饗宴,更是一場內在的心靈旅程。展覽邀集四位台灣膠彩藝術家──廖瑞芬、林彥良、洪民裕、蕭余洛,以膠彩為媒,運用礦物顏料、金屬箔與泥層疊染的技法,呈現筆觸的流動與光澤變化,展現出不同世代藝術家對生命、自然與心靈的感悟。廖瑞芬以花卉植物為象徵,從天地萬物平等的哲思出發,透過「藉物寄情、以物寓意」的方式,展現萬物一體的自然律動,凝煉出東方哲學的靜謐意境。林彥良則以花開花謝的循環寓意生命的短暫與無常,在花瓣綻放與飄落的瞬間,捕捉時間的流逝與生命的脆弱之美,引領觀者思索存在的真義。洪民裕的作品融合動物與植物的形貌,構築出帶有神話色彩的自我內心世界。他筆下的奇異人獸象徵情感與力量,展現自癒、守護與反思的功能,寄託對現實社會的感懷與啟示。蕭余洛以幻想的烏托邦為創作核心,結合童年記憶與文化想像,構築出一個多物種共生的理想境界。畫面中的精靈與生物自由變形、共存共榮,展現對和諧世界的渴望。四位藝術家透過膠彩語彙,開啟了跨世代的心靈對話。廖瑞芬與林彥良以自然寓意生命,描繪流轉與無常;洪民裕與蕭余洛則以當代神話與烏托邦想像,交融現實與夢境。作品之間彼此映照,形構出對生命與心靈的多層凝視。「靈光心影」透過傳統膠彩語言的當代表述,邀請觀者在觀看中重回自我內在的靜謐時刻。那一瞬間的光,或許正是心靈深處的倒影。展覽資訊:展覽名稱:「靈光心影」當代膠彩行跡幻景聯展藝術家:廖瑞芬、林彥良、洪民裕、蕭余洛展期:2025.11.07-2026.01.10地點:新思惟人文空間(高雄市三民區河堤路298號2樓)開放時間|週二至週六 10:00-18:30
商傳媒|記者責任編輯/綜合外電報導 英特爾(Intel)執行長陳立武(Lip-Bu Tan)近期因涉入自家投資案而引發公司治理風波。根據《路透》報導,陳立武於2025年中曾向英特爾董事會提議收購AI晶片新創Rivos,該公司正是他本人擔任董事長的投資企業,當時該提案遭董事會否決,原因是角色重疊產生明顯「利益衝突」,且缺乏明確的AI戰略基礎。 此後,Meta介入並出價競購,最終在9月以約40億美元取得Rivos所有權,遠高於Rivos原先20億美元的估值,為創投基金帶來豐厚報酬。陳立武的創投公司Walden Catalyst隨後發布聲明,強調這是「成功的投資成果」。 雖然英特爾強調,陳立武在涉及個人投資的情況下已依法避席決策,但據報導分析,類似情形並非單一事件;陳立武上任後迅速將原本規劃分拆的Intel Capital創投部門收回直屬,並與財務長戴維津斯納(David Zinsner)共同掌控投資決策,數起投資標的皆與陳立武的個人創投基金有交集,包括:AI晶片公司SambaNova與晶片監控新創proteanTecs。 報導進一步指出,SambaNova因產品需求不如預期,2024年曾裁員15%,近期面臨資金吃緊。陳立武擔任該公司執行董事長期間,也曾向英特爾建議出手收購,目前雙方已簽署非約束性條款書,併購評估仍在進行中。 對此,企業治理專家指出,CEO若同時擁有龐大個人投資組合,應將資產置於盲目信託或設立特別審查委員會以避免決策失焦。美國證券交易委員會(SEC)規定,高層若涉及年額超過12萬美元的關係人交易,必須公開揭露,但英特爾預計至2026年春季才需更新披露紀錄,市場短期內無從得知陳立武是否因此獲利。 儘管引發風波,陳立武上任以來仍被部分投資人視為帶領英特爾重返榮耀的關鍵人物。英特爾股價自其上任以來已翻倍,遠勝標普500與輝達同期漲幅。陳立武亦成功爭取輝達注資50億美元、軟銀投資20億美元,美國政府更承諾出資89億美元取得戰略股份,強化其「具國安價值」地位。
墨新聞|記者鄭富鈺/綜合報導 臺北市長蔣萬安今(27)日赴市議會進行市政總質詢。議員在質詢時肯定蔣萬安施政,特別是《2025城市脈動:魅力城市》調查報告中,臺北首度奪得全球最想長居城市冠軍,連民進黨議員都肯定實屬難得! 議員詢問蔣萬安這幾年最亮眼的成績是哪一項?蔣萬安表示就是爭取輝達進駐臺北。他感謝議會不分黨派全力的支援,在過程當中雖然經過一些談判的波折,但是最終能夠順利圓滿,相信市民也都感到肯定。 至於議員提問市政有待改進的部分,蔣萬安則表示,都市更新的推動雖不是一蹴可及,但在他上任之後推出都更八箭政策,所有累積都更的報核案件數是過去八年的2.3倍,也是其他五都直轄市加總的1.4倍,而現在更進入了大都更時代。蔣萬安強調,今天不做,明天就會後悔,所以市政府會加速審議的程序,縮短相關的期程,讓更多的都市更新在台北市實現。 蔣萬安赴市議會進行市政總質詢。(北市府資料照) 議員關心雙城論壇的進度,蔣萬安表示,臺北上海雙城論壇行之多年,已經15年,而且是目前基本上是少數僅存兩岸官方交流的管道,希望能夠持續的舉辦下去。蔣萬安也強調,雙城論壇很明確就是定位在城市之間的交流,包括這一次簽的MOU就是談水治理、職能培訓等,這些都是無關乎任何政治敏感性的議題,所以市政府希望維持這樣的基調,秉持對等、專業、善意、互惠的原則,持續能夠維持兩岸之間的溝通交流。至於確切的時間與行政上的細節,都還在跟上海方確認,等到最後溝通確定拍板,一定會跟大家做一個說明。 議員關心輝達落腳臺北市T17、T18基地未來的用電問題。蔣萬安表示絕大部分的民眾當然希望能夠確保民生用電的充足,同時,為了產業的發展,希望能夠有穩定的供電,所以現階段最重要對台灣穩定供電有幫助的方案,當然都支持。 議員憂心行政院提出院版「財政收支劃分法」修正草案恐造成臺北市政府各局處的預算總計短少300億,這些排擠效應將嚴重影響社會福利與教育等推動。蔣萬安強調餅就這麼大,確實會造成各局處在推動施政上面的困擾,以及市政府在籌編預算上面的難處。蔣萬安表示,由於目前行政院的版本沒有具體的試算數字出來,也沒有任何討論的基礎,不知道是行政院算不出來?還是行政院有數字卻不願意公佈而蓋牌?蔣萬安強調不管是哪一種方式,都不是理性討論的方式。 蔣萬安也表示,光從行政院版本的法條內容來看,尚有很多的不確定性。所以希望行政院能提出具體的試算公式,各縣市政府再根據行政院的版本內容來研究會分配到多少的統籌分配稅款、一般性補助款以及計畫性補助款,這樣才能夠有後續討論的基礎。 蔣萬安再三呼籲,如果行政院希望能夠好好理性就行政院的版本來討論,就請行政院一定要提供數字跟各地方政府好好來溝通,尤其這也牽涉到後續事權的分配,也希望行政院跟立法院能夠好好的討論。此外,蔣萬安也呼籲市議會應該站在一致的立場,為了臺北市民的福祉,以及既有在推動的各項市政建設與服務能夠不受影響。 議員關心因場地租借的限制而影響演唱會經濟的推動。蔣萬安表示,確實在檔期審議以及安排上有過於僵化以及制式的問題,所以他已責成林奕華副市長邀集觀傳局、文化局、捷運公司等相關單位重新檢討相關規範,希望能夠更靈活、更有彈性,此外也包括場館周邊做整體文化的配合與宣傳,來創造雙贏的局面,能夠真正帶動演唱會的經濟。蔣萬安舉例,當獲知Super Junior要在大巨蛋舉辦演場會,觀傳局很快做了事前的各項規劃與溝通,包括在捷運站播放Super Junior的音樂以及在大巨蛋周邊有相關的燈飾的裝點等等。蔣萬安強調,未來希望能夠更早掌握一年的檔期,這樣就可以有充分的時間來做更完整的規劃與宣傳。 議員關心日本福島水產品進口查驗安全問題。蔣萬安表示,由於中央取消日本福島五縣市的產地標示,民眾看到的是日本進口的產品。衛生局仍會加強稽查及檢驗的頻率與機制,為市民的食安問題嚴格把關。 此篇文章最開始出處為: 臺北奪全球最想長居城市冠軍 蔣萬安:輝達進駐是最大成就
波新聞─陳文標/南投地方爭取台16線水里、信義拓寬,獲得重大進展,立法院交通委員會11日邀交通部部長陳世凱到場會勘並聽取簡報,交通部同意將台16線納入省道改善計劃,經費約25億元。台16線是水里通往信義雙龍部落重要道路,因邊坡不穩、路況不佳,颱風、豪雨一來,容易斷路、釀災,地方爭取改善多年。立法院交通委員會邀交通部長陳世凱會勘,包括立委游顥、麥玉珍,副縣長王瑞德到場参加,並聽取工程簡報。立委游顥表示,台16線拓寬問題討論很久了,他擔任縣議員及立委期間,積極爭取可行性評估及相關計劃,己經完成,交通部態度是臨門一腳。交通部公路局局長林福山簡報指出,台16線19K到25K公路改善,將沿著濁水溪進行,並分成三個路段改善,包括興建隧道、橋樑、平面道路等,改善路段約有3公里,調整路寬為10公尺。面對地方反映,陳世凱部長同意先撥款1.5億元,進行邊坡改善,也為正式拓寬鋪路。 同時,25億元拓寬經費將納入省道改善計劃,讓水里、信義鄉親回家的路更安全副縣長王瑞德代表許淑華縣長,感謝部長及游顥立委的努力。他指出,在游顥立委及相關立委積極爭取下,該工程納入114年至118年省道改善計劃後,預計於116年開工。台16線是水里、信義鄉重要聯外道路,未來施工改善後,將大幅提升行車安全,並有助於地方觀光發展。隨後,立法院交通委員會前往投54線聽取集集綠色隧道新闢工程簡報,立委馬文君、集集鎮長吳大村;縣議員謝明謀、黃春麟等人也到場關心。集集綠色隧道連外道路(投54—1)新闢工程,預計投入2.3億元,作為沿線居民及兵整中心連外道路。本案因涉及縣府、交通部等不同單位,加上中央、地方財政收支劃分仍在調整,游顥立委表示,會勘後各單位達成共識,未來提報生活圈改善計劃,中央相關部會將支持。王副縣長表示,本案將透過縣府提報生活圈道路改善計劃,國防部也承諾和交通部分攤經費,這項工程總長441公尺,具軍事準備、交通改善,以及觀光提升等效能。
▲徐若瑄開場、Apink壓軸演出!桃市府公布跨年演唱會陣容,張善政市長邀民眾踴躍參與。(圖/市府提供) 【亞太新聞網/記者范文濱/桃園報導】 桃園市長張善政今(11)日下午前往市府綜合會議廳,出席「2026桃園 ON AIR 跨年記者會」。張市長表示,今(114)年跨年活動首度移師樂天桃園棒球場盛大登場,由唐綺陽、KID林柏昇、Dora謝雨芝三人聯手主持,並邀請天后徐若瑄開場、韓國重量級人氣女團Apink壓軸演出。張市長誠摯邀請民眾踴躍參與,一同迎接充滿活力的2026年。 ▲徐若瑄開場、Apink壓軸演出!桃市府公布跨年演唱會陣容,張善政市長邀民眾踴躍參與。(圖/市府提供) 張市長指出,從去(113)年的跨年晚會到今年的台灣燈會,各式大型活動愈受市民歡迎。今年跨年活動移師樂天桃園棒球場舉辦,12月31日當天將依現場人流分時段開放民眾免費進場。因預期人潮踴躍,市府同步於對面「亞洲矽谷 IOT 戶外廣場」規劃戶外Live觀賞區,架設大型螢幕同步轉播棒球場內畫面,讓更多市民都能感受演唱會熱力。張市長說,今年卡司陣容堅強,「現場一定會炒得熱熱的,一點都不覺得寒冷」,邀請大家一同到跨年現場為2026揭開活力序幕。 今日記者會特別邀請跨年卡司之一的YELLOW黃宣現場驚喜獻聲,帶來極具個人魅力的精彩演出;跨年主持人、廣播金鐘獎得主唐綺陽亦親自到場力挺。唐綺陽表示,明年為「火象年」,象徵活力與展現自我,跨年正是點燃能量的開始,歡迎大家蒞臨現場,共同感受桃園跨年的熱情與魅力。 觀旅局補充,本次活動採雙場地辦理,兩處皆設置主題入口意象與拍照點,並可同步欣賞跨年煙火;戶外觀賞區亦規劃「星光美食市集」,現場將免費發放限量跨年專屬「星星發光手環」。此外,今年推出「跨年搖滾區 VIP PASS 抽獎活動」,12 月 15 日至 12 月 21 日至樂遊桃園 FB 完成指定任務即可參加抽獎。更多晚會資訊請至「2026 桃園 ON AIR 跨年晚會」活動官網(網址: https://www.2026taoyuannewyear.com.tw/)及「樂遊桃園 Facebook」官方粉絲專頁查詢。 觀旅局表示,本次跨年晚會卡司包括:獨家卡司「全能才女」徐若瑄、「唱跳天后」温嵐、「音樂才子」黃宣、韓國人氣女團 Apink;實力派歌手「金曲製造機」蕭秉治、「大勢情歌王」陳勢安、「金曲樂團」宇宙人;以及新生代藝人派偉俊、冰球樂團、J.Sheon、HUR+。此外,樂天桃猿隊長林立、副隊長梁家榮與樂天女孩亦將一同登場,陪伴民眾倒數迎接2026新年。 觀旅局指出,今年跨年交通服務全面升級,提供「跨年免費接駁車」,包括桃園線(紅線,自桃客桃園總站上車)及中壢線(綠線,自桃客中壢總站上車),下午5時起至凌晨 2 時免轉乘直達會場;散場時段更加開大溪線(藍線、5096 路線)及龍潭線(黃線、5053 路線),服務八德、大溪、龍潭等地居民。建議民眾多利用大眾交通工具,包括機場捷運(至 A19 站,41 小時不休班)、高鐵(至 A18 站轉乘機捷至 A19)、市區公車,或採取共乘方式前往。若選擇自駕,建議出發前至「2026 桃園 ON AIR 跨年晚會」官網或「樂遊桃園 FB」查詢交通管制資訊。 今日包括市府觀旅局長陳靜芳、新聞處長羅楚東、捷運工程局主秘楊曜華、桃園觀光發展基金會副執行長陳信守、桃園區副區長邱創正、聯利媒體股份有限公司總經理劉文硯、璟都建設股份有限公司總經理高林鋒、中華航空公司公共關係室協理郭睦芳等均一同出席。
台南聖誕親子新地標!2025贊美「聖誕方程式」二手市集12/13-14溫馨起跑湖畔煙火×賽車主題派對。〈圖/記者翻攝-下同〉 【焦點時報/記者蔡宗憲報導】當「賽車主題」遇上「聖誕溫馨」,會碰撞出什麼火花?南科贊美酒店宣布,2025年將以全新企劃「聖誕方程式|贊美二手市集派對」為府城掀起年底最溫馨的節慶熱潮。今年活動別出心裁,保留「聖誕方程式」的賽車主題視覺,巧妙融入親子元素,將市集打造成充滿活力與歡笑的「聖誕賽車樂園」。 每年二手市集活動均以「永續×體驗」為核心。今年主題將賽車的經典元素與聖誕節慶佈置完美結合,從步入市集的瞬間,就像駛入一段充滿驚喜的賽道。贊美酒店總經理郭哲甫表示:「舉辦市集的初衷是透過市集提倡『再利用、再循環、再喜歡』的概念,讓二手物品重新點亮價值。」酒店攜手攤商與民眾,讓每一次交換、每一次購買,都成為愛地球的一步,也希望透過今年的主題,讓永續生活變得更生動有趣。 活動現場視覺全面升級,將賽車主題轉化為適合全家合影的可愛佈景,搭配綿延的聖誕燈飾,營造既酷炫又溫暖的過節氛圍。備受矚目的重頭戲——聖誕點燈儀式,將於12/13夜間盛大登場。不同於以往,今年的璀璨煙火秀將於波光粼粼的湖心中央綻放,絢爛花火與湖面倒影相互輝映,搭配環湖燈光,為現場民眾帶來最夢幻、最震撼的視覺饗宴。 贊美酒店希望市集不只是購買與玩樂,更是一場讓「物品有第二次生命」的城市派對。為了讓親子家庭玩得盡興,活動方安排了一系列精彩演出與互動體驗:包括孩子們最愛的定時泡泡秀、超人氣吉祥物大遊行、活力十足的街頭藝人演出,以及親子DIY手作體驗。從午後的暖陽草地到夜晚的湖畔花火,全天候精彩不斷。 隨著「聖誕方程式」二手市集派對正式啟動,南科贊美酒店將再次為善化區域與台南家庭點亮年末最溫暖的時刻。這是一場結合環保永續、賽車童趣與視覺震撼的聖誕盛事。詳盡的活動時程、攤位名單與演出資訊,將公布於贊美酒店官方Facebook粉絲團,邀請民眾全家大小一同「駛」入這場充滿愛的聖誕慶典。 #南科贊美酒店, 聖誕方程式市集, 台南聖誕活動2025, 湖畔煙火秀, 親子二手市集